Conoce nuestros servicios de Placas Miorelajantes
- Placa miorelajante digital $900.000
- Placa miorelajante extraconfort $650.000
- Placa acrílico convencional $580.000
Servicio a Domicilio en Bogotá

Escríbenos a nuestro WhatsApp 3013546814 para más información y cambia tu sonrisa HOY!
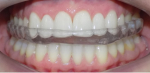
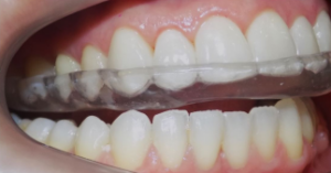
¿Qué es una placa miorelajante?
Una placa miorelajante, también conocida como placa oclusal de descarga, es un dispositivo dental utilizado para aliviar la tensión y el estrés en los músculos de la mandíbula y la articulación temporomandibular (ATM). Está diseñada para ser usada durante la noche y actúa como una barrera entre los dientes superiores e inferiores, permitiendo que los músculos de la mandíbula se relajen y evitando el contacto directo entre las superficies dentales.

La placa miorelajante es comúnmente prescrita por dentistas para el tratamiento de afecciones como el bruxismo (rechinar de dientes) y los trastornos temporomandibulares (TMD), que pueden causar dolor facial, dolores de cabeza y desgaste dental excesivo. Al evitar el contacto entre los dientes, la placa miorelajante ayuda a reducir la carga y la presión sobre los músculos y la articulación de la mandíbula, aliviando así los síntomas asociados con estas condiciones.
El proceso de fabricación de una placa miorelajante generalmente implica tomar impresiones de la boca del paciente para obtener una réplica exacta de la estructura dental. A partir de estas impresiones, se crea una placa personalizada que se ajusta perfectamente a la boca del paciente para garantizar su comodidad y eficacia.
Es importante que la placa miorelajante sea utilizada y monitoreada bajo la supervisión de un dentista o especialista en trastornos temporomandibulares para asegurar que se ajuste adecuadamente y cumpla con su propósito de aliviar la tensión muscular y proteger los dientes. Cada caso es único, por lo que un profesional de la salud bucal determinará si una placa miorelajante es la mejor opción de tratamiento para cada paciente en particular.
Beneficios y usos de las placas miorelajantes
Las placas miorelajantes ofrecen una serie de beneficios y tienen diversos usos en el campo de la odontología y la salud bucal. Algunos de los principales beneficios y usos son los siguientes:
1. **Alivio de la tensión muscular**: Una de las ventajas más destacadas de las placas miorelajantes es su capacidad para aliviar la tensión y el estrés en los músculos de la mandíbula y la articulación temporomandibular (ATM). Esto puede ser especialmente beneficioso para personas que padecen bruxismo, un hábito involuntario de rechinar o apretar los dientes, que puede causar tensión y dolor en los músculos de la mandíbula.
2. **Tratamiento de trastornos temporomandibulares (TMD)**: Las placas miorelajantes son una opción de tratamiento común para los trastornos temporomandibulares, que son condiciones que afectan la articulación y los músculos de la mandíbula. Estas placas ayudan a reducir la presión sobre la ATM, lo que puede aliviar el dolor, los chasquidos y otros síntomas asociados con el TMD.

3. **Protección dental**: Las placas miorelajantes actúan como una barrera entre los dientes superiores e inferiores, evitando el desgaste excesivo causado por el bruxismo. Al proteger los dientes del desgaste, pueden ayudar a preservar la estructura dental y evitar problemas como fracturas y sensibilidad dental.
4. **Mejora del sueño**: Para las personas que rechinan o aprietan los dientes mientras duermen, el uso de una placa miorelajante puede mejorar la calidad del sueño al reducir la actividad muscular y el ruido relacionados con el bruxismo.
5. **Reducción de dolores de cabeza y migrañas**: Al relajar los músculos de la mandíbula y reducir la tensión en la ATM, las placas miorelajantes pueden ayudar a disminuir la frecuencia e intensidad de los dolores de cabeza y migrañas relacionados con el bruxismo y los trastornos temporomandibulares.
Es importante destacar que las placas miorelajantes deben ser personalizadas y ajustadas adecuadamente por un dentista u odontólogo con experiencia en el tratamiento de bruxismo y trastornos temporomandibulares. Cada paciente es único, y el profesional determinará si una placa miorelajante es la mejor opción de tratamiento para abordar las necesidades y síntomas específicos de cada individuo.
Indicaciones y contraindicaciones de las placas miorelajantes
Las placas miorelajantes son dispositivos dentales útiles en el tratamiento de ciertas condiciones bucodentales, pero es importante tener en cuenta tanto sus indicaciones como sus contraindicaciones. Aquí están algunas de ellas:
**Indicaciones:**
1. **Bruxismo**: Las placas miorelajantes son frecuentemente indicadas para pacientes que sufren de bruxismo, una condición en la que aprietan o rechinan los dientes de manera involuntaria, especialmente durante la noche.
2. **Trastornos temporomandibulares (TMD)**: Los pacientes que presentan trastornos temporomandibulares, que pueden causar dolor en la mandíbula, ruido al abrir o cerrar la boca y dificultad para masticar, pueden beneficiarse del uso de placas miorelajantes.
3. **Protección dental**: Las placas miorelajantes son útiles para proteger los dientes del desgaste excesivo causado por el bruxismo, lo que puede ayudar a prevenir fracturas dentales y sensibilidad.
**Contraindicaciones:**
1. **Maloclusiones graves**: En casos de maloclusiones graves o problemas significativos con la forma de la mandíbula y la oclusión dental, las placas miorelajantes pueden no ser la mejor opción de tratamiento y pueden incluso empeorar la situación.
2.Enfermedades periodontales avanzadas**: En presencia de enfermedades periodontales avanzadas, como la periodontitis, es importante abordar primero estas condiciones antes de considerar el uso de placas miorelajantes.

3. **Alergias o intolerancias a los materiales**: Algunos pacientes pueden tener alergias o intolerancias a los materiales utilizados en la fabricación de las placas miorelajantes, lo que podría causar reacciones adversas.
4. **Trastornos respiratorios graves**: Las placas miorelajantes pueden afectar la capacidad de respirar adecuadamente a través de la boca, por lo que en pacientes con trastornos respiratorios graves, su uso debe ser evaluado cuidadosamente.
Es fundamental que un dentista u odontólogo realice una evaluación completa de cada paciente antes de recomendar el uso de una placa miorelajante. Solo un profesional capacitado puede determinar si las placas miorelajantes son adecuadas para cada situación específica y si los beneficios superan los riesgos potenciales. La elección del tratamiento debe basarse en el diagnóstico y las necesidades individuales del paciente para obtener los mejores resultados y una óptima salud bucal.
Fabricación y ajuste de las placas miorelajantes
La fabricación y ajuste de las placas miorelajantes es un proceso personalizado que requiere la experiencia y habilidad de un dentista u odontólogo especializado en el tratamiento de bruxismo y trastornos temporomandibulares. A continuación, se detallan los pasos involucrados en la fabricación y ajuste de las placas miorelajantes:
1. **Evaluación y diagnóstico**: El primer paso es realizar una evaluación exhaustiva del paciente, incluyendo el historial médico y dental, así como un examen clínico y radiográfico. Esto permite al dentista identificar cualquier problema dental o bucal subyacente y determinar si una placa miorelajante es adecuada para el paciente.
2. **Toma de impresiones**: Una vez que se determina que una placa miorelajante es apropiada, se toman impresiones de la boca del paciente para obtener una réplica exacta de la estructura dental. Estas impresiones se utilizan para crear una placa personalizada que se ajuste perfectamente a la boca del paciente.
3. **Diseño y fabricación**: Con las impresiones obtenidas, se crea un modelo de yeso que representa la estructura dental del paciente. A partir de este modelo, se fabrica la placa miorelajante utilizando materiales acrílicos o termoplásticos de alta calidad.
4. **Ajuste y comprobación**: Una vez fabricada la placa miorelajante, el dentista realiza ajustes para garantizar que se adapte cómodamente a la boca del paciente. Es importante que la placa tenga un ajuste preciso y no cause ninguna incomodidad o irritación.
5. **Instrucciones de uso y cuidado**: El dentista proporciona al paciente instrucciones detalladas sobre cómo usar y cuidar la placa miorelajante. Esto incluye información sobre cuándo y cómo usarla, así como cómo limpiarla y mantenerla en buenas condiciones.
6. **Seguimiento y ajustes**: Después de la entrega inicial de la placa miorelajante, se programan visitas de seguimiento para verificar su eficacia y realizar ajustes adicionales si es necesario. Es común que se realicen pequeñas modificaciones para garantizar un ajuste óptimo y una mayor comodidad del paciente.
Es fundamental que las placas miorelajantes sean fabricadas y ajustadas por un profesional capacitado y con experiencia en este tipo de tratamiento. Cada caso es único y requiere una atención individualizada para obtener los mejores resultados y aliviar los síntomas del bruxismo y los trastornos temporomandibulares de manera efectiva.

Cuidados y mantenimiento de las placas miorelajantes
El cuidado y mantenimiento adecuado de las placas miorelajantes es esencial para garantizar su efectividad y prolongar su vida útil. Aquí hay algunas pautas importantes a seguir:
1. **Limpieza diaria**: Es importante limpiar la placa miorelajante después de cada uso para eliminar los restos de alimentos, bacterias y placa dental. Lávala con agua tibia y un cepillo suave, asegurándote de no utilizar pasta dental ni productos abrasivos que puedan dañar el material de la placa.
2. **Remojo nocturno**: Cuando no estés usando la placa, guárdala en un recipiente limpio y seco con agua o una solución desinfectante adecuada, siguiendo las recomendaciones de tu dentista. El remojo nocturno ayudará a mantener la higiene y la frescura de la placa.
3. **Evitar temperaturas extremas**: No expongas la placa miorelajante a temperaturas extremas, como agua caliente o lugares muy calurosos, ya que esto podría deformar o dañar el material de la placa.
4. **Inspección regular**: Realiza inspecciones regulares de la placa miorelajante para detectar cualquier signo de desgaste, fracturas o ajuste deficiente. Si notas algún problema, comunica inmediatamente a tu dentista para que realice los ajustes necesarios o reemplace la placa si es necesario.
5. **Mantén una higiene oral adecuada**: Asegúrate de mantener una buena higiene oral, cepillándote los dientes y usando hilo dental regularmente. También es importante mantener limpios los bordes de la placa miorelajante para evitar la acumulación de bacterias y placa dental.
6. **No realices ajustes por tu cuenta**: Nunca intentes ajustar o modificar la placa miorelajante por tu cuenta, ya que esto puede afectar su eficacia y causar problemas en la oclusión y la articulación temporomandibular.
7. **Visitas regulares al dentista**: Programa visitas regulares con tu dentista para que pueda revisar la placa miorelajante y evaluar su efectividad. Estas visitas también son una oportunidad para resolver cualquier inquietud o problema relacionado con la placa.
Siguiendo estas pautas de cuidado y mantenimiento, puedes asegurarte de que tu placa miorelajante funcione de manera óptima y te proporcione el alivio necesario para el bruxismo y los trastornos temporomandibulares. Si tienes alguna duda o inquietud sobre el cuidado de tu placa miorelajante, no dudes en consultar a tu dentista para recibir orientación personalizada.

Placa miorelajante activada
Una placa miorelajante activada es un dispositivo dental personalizado utilizado para tratar problemas relacionados con la articulación temporomandibular (ATM) y el bruxismo. Se coloca en la boca y está diseñado para aliviar la tensión muscular y reducir el desgaste dental causado por apretar o rechinar los dientes. La «activación» se refiere a una característica específica incorporada en la placa para estimular los músculos de la mandíbula y permitir un posicionamiento mandibular más cómodo. Esto puede ayudar a reducir los síntomas como dolor de mandíbula, dolores de cabeza y problemas de articulación.
El diseño y la fabricación de la placa miorelajante activada son personalizados para adaptarse a la boca y a las necesidades individuales del paciente. Su uso suele estar supervisado por un dentista especializado en trastornos de la ATM y bruxismo, y puede ser parte de un plan de tratamiento integral que puede incluir terapia física, cambios en los hábitos y ejercicios mandibulares.

Placa de bruxismo para que sirve
Una placa de bruxismo, también conocida como férula de descarga, es un dispositivo dental diseñado para tratar el bruxismo, que es el hábito involuntario de apretar o rechinar los dientes, generalmente durante el sueño. Esta placa se coloca en la boca antes de dormir y actúa como una barrera protectora entre los dientes superiores e inferiores.
La placa de bruxismo sirve para varios propósitos beneficiosos. Primero, ayuda a reducir el desgaste dental excesivo y el daño a los dientes causado por el bruxismo. Además, alivia la tensión y el estrés en los músculos de la mandíbula y la articulación temporomandibular (ATM), lo que puede reducir el dolor facial y mandibular, así como los dolores de cabeza relacionados con el bruxismo. También puede contribuir a mejorar la calidad del sueño y disminuir el ruido asociado al rechinar de los dientes. La placa de bruxismo debe ser ajustada y supervisada por un dentista para garantizar su eficacia y comodidad.

Placa neuromiorelajante
Una placa neuromiorelajante es un dispositivo dental utilizado para abordar problemas como el bruxismo y los trastornos temporomandibulares (TMD). A diferencia de las férulas tradicionales, esta placa incorpora tecnología avanzada para monitorear la actividad muscular y mandibular en tiempo real. Al registrar los patrones de tensión muscular, puede ajustar su forma y función para ayudar a relajar los músculos de la mandíbula, reducir la tensión y aliviar el dolor.
La placa neuromiorelajante utiliza señales electromiográficas para detectar cambios en la actividad muscular y ajustar su forma automáticamente. Esto proporciona un enfoque más personalizado y adaptable para el tratamiento. Se puede usar durante el día o la noche, según las recomendaciones del dentista.
Este tipo de placa busca ofrecer un alivio más preciso y efectivo para los pacientes que sufren de bruxismo o TMD, al proporcionar un ajuste constante a medida que los músculos cambian y se relajan. Su uso debe ser supervisado por un dentista especializado en trastornos de la mandíbula para garantizar un tratamiento adecuado.
Placa de bruxismo ¿para que sirve?
Una placa de bruxismo, también conocida como férula de descarga, es un dispositivo dental diseñado para tratar el bruxismo, que es el hábito involuntario de apretar o rechinar los dientes, generalmente durante el sueño. Esta placa se coloca en la boca antes de dormir y actúa como una barrera protectora entre los dientes superiores e inferiores.

La placa de bruxismo sirve para varios propósitos beneficiosos. Primero, ayuda a reducir el desgaste dental excesivo y el daño a los dientes causado por el bruxismo. Además, alivia la tensión y el estrés en los músculos de la mandíbula y la articulación temporomandibular (ATM), lo que puede reducir el dolor facial y mandibular, así como los dolores de cabeza relacionados con el bruxismo. También puede contribuir a mejorar la calidad del sueño y disminuir el ruido asociado al rechinar de los dientes. La placa de bruxismo debe ser ajustada y supervisada por un dentista para garantizar su eficacia y comodidad.
Placas miorrelajantes precio
El precio de las placas miorrelajantes puede variar significativamente según varios factores. El tipo de placa, el material utilizado, el diseño personalizado y la complejidad del tratamiento requerido. Las placas miorrelajantes pueden oscilar desde unos pocos cientos hasta varios miles de dólares.

Las placas básicas, que son preconfeccionadas y no personalizadas, tienden a ser más económicas. Sin embargo, las placas personalizadas diseñadas por un dentista especializado en trastornos de la mandíbula y la oclusión, pueden ser más costosas debido a la atención individualizada y los materiales de alta calidad utilizados. Además del costo inicial, es importante considerar el beneficio a largo plazo de aliviar el dolor, el malestar y la protección de los dientes y la mandíbula. Se recomienda consultar a un dentista para obtener un presupuesto específico basado en tus necesidades y situación dental.
